Menu
Request Appointment
New Patients
Current Patients
New Patients
(802) 424-8517
Current Patients
(603) 882-7578
Schedule Appointment
Leave a Review
New Patients Call
(802) 424-8517
Our Office
Meet Dr. Tara Levesque-Vogel
Meet Dr. Keith Levesque
Meet Dr. Adrian J. Levesque Jr.
Meet Dr. Stephen Ura
Meet Our Team
Technology
Tour Our Office
Leave a Review
Our Services
General Dentistry
Dental Fillings
Preventive Dentistry
Periodontal Therapy
Root Canal
Tooth Extractions
Cosmetic Dentistry
Dermal Fillers
Invisalign
Porcelain Veneers
Tooth Bonding
Teeth Whitening
Restorative Dentistry
Dental Bridges
Dental Crowns
Dental Implants
Dentures & Partials
TMJ Treatment
Sleep Apnea
Dental Concerns
Crooked Teeth
Dental Anxiety
Jaw Pain
Missing Teeth
Wrinkles
For Patients
First Visit
Patient Forms
Payment & Insurance
Specials
Patient Safety
Blog
Smile Gallery
Testimonials
Contact Us
Make A Payment
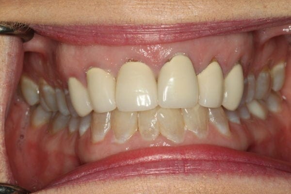
Smile Gallery
All
porcelain dental crowns
smile makeover